Porcelain Veneers Before & After Gallery

Dental Veneers Before and After

Dr. Ali Fakhimi

Meet Dr. Ali Fakhimi

Cosmetic Dentistry Specialist | 1,000+ Successful Cases

Patients travel from across California to work with Dr. Fakhimi He is easy to talk to, pays close attention to detail, and consistently delivers great results.

dr section dot

1,000+

Successful Smile Makeovers

dr section dot

25+ Years

Changing Smiles in San Diego

dr section dot

Expert in

Full-Mouth Restoration

dr section dot

Trusted

for Complex Cases

Here is why
we are #1 in SD

Frequently Asked
Question

When smile design is done properly and the shade is carefully matched to your facial features, veneers look completely natural and blend seamlessly with your smile.

The veneer procedure is typically painless. If needed, local anesthesia is used to ensure your comfort throughout treatment. Most patients feel only mild pressure and describe the experience as calm and comfortable.

Veneers are considered a long-term cosmetic solution. Like dental crowns, they experience natural wear over time, but high-quality veneers typically last 10 to 15 years—or even longer with proper care.

The amount of tooth preparation depends on the treatment technique and the dentist’s expertise. At Soft Touch Dental, we usually perform only minimal, controlled enamel reduction—just enough to allow the ultra-thin ceramic veneers to fit naturally, ensuring smooth, balanced, and natural-looking results.

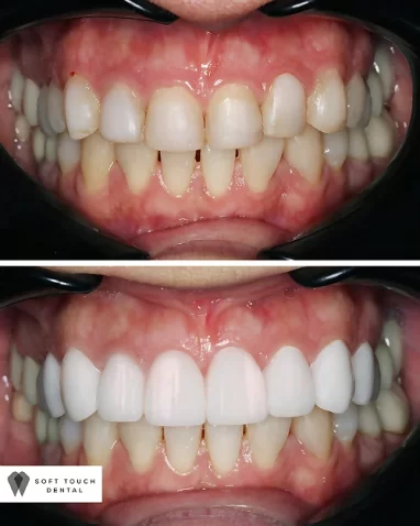
Veneer Before & After Results

Many patients come to us with concerns such as tooth discoloration, minor chips, or an uneven smile.After choosing Veneers San Diego, patients achieve a more natural, balanced smile that truly complements their face. Our before-and-after veneer photos allow you to see real treatment results, compare transformations, and make a confident, informed decision. At Soft Touch Dental, Dr. Ali Fakhimi custom-designs each case with a strong focus on preserving natural tooth structure, delivering long-lasting and highly satisfying outcomes. If you’re ready to feel more confident about your treatment choice, schedule your consultation with Soft Touch Dental and Dr. Ali Fakhimi today.